
Пінеоцитома — це рідкісна, доброякісна пухлина шишкоподібної залози (епіфіза), яка походить із пінеоцитів — клітин, що відповідають за синтез мелатоніну та регуляцію добових ритмів. Пухлина належить до низькозлоякісних новоутворень (ступінь злоякісності I за класифікацією ВООЗ), росте повільно, рідко дає рецидиви та практично не метастазує.
Пінеоцитома належить до рідкісних пухлин центральної нервової системи, і точні причини її виникнення наразі до кінця не вивчені. Вважається, що розвиток пухлини пов’язаний із поєднанням генетичних змін, клітинних порушень та, меншою мірою, впливу зовнішніх факторів. На відміну від більш агресивних пухлин епіфіза, пінеоцитома має доброякісний характер і формується з високо диференційованих пінеоцитів, що пояснює її повільний ріст і низьку схильність до метастазування.
У більшості випадків пінеоцитома виникає внаслідок спонтанних (неуспадкованих) генетичних порушень у клітинах шишкоподібної залози.
Можливі механізми розвитку включають:
Пінеоцитома не має підтвердженого зв’язку з відомими спадковими пухлинними синдромами, що відрізняє її від деяких інших новоутворень мозку.
На сьогодні немає переконливих доказів, що зовнішні фактори відіграють ключову роль у виникненні пінеоцитоми. Проте в окремих дослідженнях розглядаються потенційні тригери, які можуть впливати на клітинну активність або підвищувати загальний ризик пухлин мозку.
Серед можливих факторів розглядають:
У більшості випадків пінеоцитома виникає без чітко ідентифікованих факторів ризику, що є типовим для багатьох первинних пухлин мозку.
Пінеоцитома зазвичай росте повільно, тому клінічні прояви з’являються тоді, коли пухлина досягає певного розміру та починає тиснути на сусідні структури мозку. Оскільки шишкоподібна залоза розташована в центрі мозку, поруч із важливими нервовими шляхами та системами регуляції ритмів, симптоми можуть бути різноплановими — від неврологічних до зорових та гормональних. Їхня вираженість залежить від розміру пухлини, темпів росту та індивідуальних особливостей організму.
Пухлина може тиснути на структури середнього мозку, третій шлуночок та шляхи, що відповідають за рухи очей, координацію та відтік спинномозкової рідини.
Типові неврологічні симптоми:
Такі прояви можуть посилюватися зі зростанням пухлини та потребують своєчасної діагностики.
Шишкоподібна залоза розташована поруч із верхніми горбками четверохолмія — зонами, що координують рухи очей та зорову адаптацію. Тому зорові симптоми є одними з найхарактерніших.
Можливі порушення:
Зорові розлади часто є першими симптомами, з якими пацієнт звертається до лікаря.
Оскільки епіфіз відповідає за секрецію мелатоніну, пінеоцитома може порушувати гормональну регуляцію добових ритмів.
Можливі порушення:
У деяких випадках гормональні симптоми проявляються раніше, ніж неврологічні, що ускладнює діагностику.
Діагностичний процес спрямований на виявлення пухлини, визначення її розміру, оцінку впливу на навколишні структури та підтвердження гістологічного типу. Оскільки пінеоцитома росте повільно та може тривалий час не давати виражених симптомів, точні інструментальні методи є ключовими для встановлення діагнозу. Комплексна діагностика допомагає відрізнити пінеоцитому від інших пухлин епіфізарної ділянки, що мають різний прогноз та тактику лікування.
Первинний неврологічний огляд дозволяє виявити функціональні порушення, які можуть бути пов’язані з тиском пухлини на сусідні структури мозку.
Під час огляду оцінюються:
Такий огляд дає змогу сформувати попереднє уявлення про локалізацію ураження та визначити необхідність термінових інструментальних досліджень.
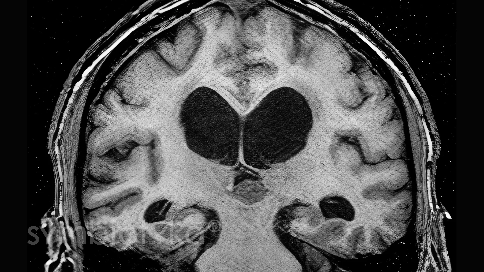
Магнітно-резонансна томографія (МРТ) — основний метод діагностики пінеоцитоми.
Переваги МРТ:
Пінеоцитома зазвичай виглядає як добре відмежоване утворення, яке помірно накопичує контраст.
Комп’ютерна томографія (КТ) застосовується додатково, особливо:
Сукупність даних МРТ та КТ дозволяє точно оцінити характер новоутворення та спланувати лікування.
Остаточний діагноз пінеоцитоми встановлюється лише після гістологічного аналізу пухлинної тканини.
Етапи підтвердження:
Пінеоцитома має чіткі морфологічні ознаки: високо диференційовані пінеоцити, низька мітотична активність, відсутність ознак злоякісності.
Без гістології неможливо точно відрізнити пінеоцитому від пінеобластоми чи змішаних пухлин епіфіза.
У деяких випадках проводять аналіз гормонів, якщо пухлина впливає на функцію епіфіза та порушує вироблення мелатоніну або роботу суміжних ендокринних систем.
Може оцінюватися:
Такі дослідження не є обов’язковими для всіх пацієнтів, але допомагають при виражених циркадних або ендокринних порушеннях.
Терапія пінеоцитоми залежить від розміру пухлини, клінічних симптомів, наявності гідроцефалії та даних нейровізуалізації. Оскільки пінеоцитома є доброякісною та росте повільно, основна мета лікування — повністю або максимально безпечно видалити пухлину, зберегти функції нервової системи та запобігти рецидивам. У багатьох випадках після хірургічного втручання пацієнт відновлюється повністю й не потребує додаткових методів терапії.
Хірургія — основний та найефективніший метод лікування пінеоцитоми.
Основні цілі оперативного втручання:
Особливості операції:
Хірургія також дозволяє швидко зменшити симптоми, пов’язані з підвищеним внутрішньочерепним тиском.
Променева терапія може застосовуватися як додатковий метод у певних ситуаціях.
Показання:
Методи:
Пінеоцитома добре реагує на радіохірургію, що дозволяє стабілізувати або зупинити ріст пухлини.
Медикаментозне лікування не усуває пухлину, але допомагає контролювати симптоми та покращувати якість життя до та після втручання.
Напрями терапії:
Також важливим є динамічне спостереження за допомогою МРТ кожні 6–12 місяців у перші роки після операції.
Гормональні порушення часто мають непомітний початок, але з часом впливають на якість життя, вагу, настрій і загальне самопочуття. Лікування має бути не лише ефективним, а й безпечним — і саме тому важлива точна діагностика.
Запишіться на консультацію ендокринолога, щоб отримати професійну оцінку стану здоров’я, пройти необхідні аналізи та розпочати індивідуально підібране лікування.

Реабілітація після лікування пінеоцитоми спрямована на відновлення неврологічних функцій, стабілізацію гормональних процесів та контроль можливих віддалених наслідків. Оскільки пухлина розташована в складній анатомічній зоні, відновлення має поетапний характер і включає медичний нагляд, адаптацію способу життя та регулярні обстеження. Більшість пацієнтів після успішного видалення пінеоцитоми повертаються до повноцінного життя, але потребують тривалого спостереження.
Після хірургічного втручання або радіохірургії нервова система потребує часу для стабілізації. Вираженість неврологічних симптомів залежить від розміру пухлини, ступеня компресії мозкових структур та індивідуальних особливостей.
Основні напрями відновлення:
Неврологічне відновлення зазвичай відбувається поступово протягом кількох місяців.
Оскільки епіфіз регулює вироблення мелатоніну та бере участь у роботі інших ендокринних систем, після лікування важливо спостерігати за гормональними показниками.
Під контролем може бути:
При потребі призначаються добавки, корекція способу життя або препарати, які стабілізують добові процеси.
Навіть після успішного лікування необхідно періодичне медичне спостереження, оскільки пінеоцитома хоч і є доброякісною, але може давати залишкові ефекти або дуже рідко — повільний ріст.
Рекомендації щодо спостереження:
Також важливо:
Комплексний підхід до реабілітації забезпечує стабільне відновлення і знижує ризик повторних порушень чи ускладнень.
Попри те, що пінеоцитома є доброякісною пухлиною з відносно сприятливим прогнозом, лікування та реабілітація можуть супроводжуватися певними ризиками. Їх характер залежить від розміру новоутворення, ступеня компресії мозкових структур, виду лікування та індивідуальних особливостей пацієнта. Ускладнення можуть виникати як у ранньому післяопераційному періоді, так і в довгостроковій перспективі, тому спостереження залишається важливою частиною ведення пацієнтів.
Хірургічне втручання в ділянці шишкоподібної залози є технічно складним через близькість до життєво важливих структур мозку, тому можливі певні ускладнення.
Основні післяопераційні ризики:
У більшості випадків післяопераційні симптоми регресують, якщо пухлина була видалена повністю та без пошкодження критичних структур.
Епіфіз відіграє роль у регуляції мелатоніну та взаємодіє з іншими гормональними системами, тому після лікування можливі певні зміни.
Потенційні ендокринні ускладнення:
Більшість гормональних порушень піддаються корекції та часто нормалізуються після завершення періоду відновлення.
Пінеоцитома має низьку ймовірність рецидиву, але ризик все ж існує, особливо якщо пухлина не була видалена повністю.
Фактори, що впливають на ризик рецидиву:
Як контролюють рецидиви:
У більшості пацієнтів після повного видалення пухлини прогноз залишається сприятливим, а рецидиви трапляються рідко.
Пінеоцитома є рідкісною та здебільшого спорадичною пухлиною, тому специфічних профілактичних заходів, здатних повністю запобігти її розвитку, не існує. Однак існують загальні рекомендації, які спрямовані на зниження ризиків порушень у нервовій та ендокринній системах, а також на раннє виявлення змін, що може суттєво покращити прогноз.
Профілактика охоплює контроль факторів, що впливають на здоров’я мозку, гормональний баланс, циркадні ритми та загальну онкологічну безпеку.
1. Підтримання здоров’я нервової системи
2. Оптимізація гормонального балансу та циркадних ритмів
Оскільки епіфіз регулює мелатонін, важливо зберігати стабільний добовий ритм:
3. Мінімізація впливу потенційно шкідливих чинників
4. Турбота про загальний імунний статус
Підтримка імунної системи допомагає знижувати ризики розвитку різних пухлинних процесів:
Хоча пінеоцитома не має специфічних заходів профілактики, рання діагностика дозволяє уникнути прогресування та ускладнень.
Рекомендується звернутися до лікаря при появі:
Регулярне медичне спостереження особливо важливе для людей, які вже перенесли лікування пухлин головного мозку.
Здоровий спосіб життя не може гарантувати профілактику пінеоцитоми, але знижує загальний онкологічний ризик і покращує регуляцію функцій мозку та гормональних систем.
Рекомендації включають:
.png)
.png)

.webp)